

I recently had the full-arch dental implant procedure done at Smith Dental, and I couldn't be happier with the results! From the initial consultation to the final follow-up, the entire experience was top-notch. Dr. Smith and his team were incredibly knowledgeable and caring throughout the process.
-John O.

"Thank you so much! I really love your work. Everyone was very friendly, kind, and professional. I felt very comfortable and happy with the service. Highly recommend!"
- Zahra


"Thank you so much! I really love your work. Everyone was very friendly, kind, and professional. I felt very comfortable and happy with the service. Highly recommend!"
- Zahra


Practically Invisible...
No one, not even you, will know they are there. A comfortable, short treatment time could give you a new smile in as little as six months! Clear aligners are affordable and practical.


FAST RESULTS
EASY TO CLEAN
EAT WHAT YOU WANT


Practically Invisible...
No one, not even you, will know they are there. A comfortable, short treatment time could give you a new smile in as little as six months! Clear aligners are affordable and practical.


FAST RESULTS
EASY TO CLEAN
EAT WHAT YOU WANT

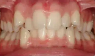
BEFORE.

AFTER.

At our dental practice, we prioritize comfort and excellent dental outcomes by providing personalized, high-quality care tailored to your needs. We combine this personal approach with state-of-the-art technology, affordable care, and easy scheduling, to give you a dental experience that you simply can't find elsewhere. You'll leave with a smile


Dr. Dante Gonzales has been creating beautiful, healthy smiles since 1998. He takes great pride in delivering the highest quality orthodontic treatment available. Dr. Gonzales takes an active role in meeting and exceeding the standards of his profession. He has taken the extra steps to become a board certified orthodontist in Dublin and Tracy, CA. (only half of orthodontists are board certified) In addition, he is a member of the American Association of Orthodontists, as well as other national, state, and local dental associations. In order to stay abreast of the most current developments in dentistry and orthodontics, Dr. Gonzales and his team attend many continuing education courses throughout the year. In addition, he served as an associate clinical professor in the orthodontics department at the University of the Pacific Dental School. Since 2010, Dr. Gonzales has served on the editorial advisory board of Dr. Oz’s website.
Dr. Gabrielle Wainwright, DDS, MSD is a Bay Area native, and grew up in San Mateo, California. She received her B.S. in Molecular Environmental Biology at U.C. Berkeley, graduating summa cum laude. She earned her D.D.S. degree at the University of the Pacific Arthur A. Dugoni School of Dentistry in San Francisco. Dr. Wainwright then went on to complete her orthodontics residency program at the University of the Pacific, where she received her Master of Science in Dentistry and Certificate in Orthodontics. Dr. Wainwright is passionate about providing quality care to her patients in a positive and comfortable environment. In her free time, Dr. Wainwright loves exploring the Bay Area, traveling, and spending quality time with her family and friends. She also loves discussing pop culture and the latest movies and tv shows!


Dr Gary Warner started practicing orthodontics in June 2010 as a graduate from the orthodontics program at the University of Minnesota. He was born and raised in Trinidad and Tobago, but then moved to the USA for college. Dr Warner enjoys exploring challenging hiking trails in the Bay Area, and pickle ball. He loves the TV series Survivor, animals (dad of two senior Schnauzers), vegan food, learning new languages especially Mandarin, and has been to over 20 countries. His passion for outstanding patient care is what drives him the most. Dr. Warner looks forward to meeting you, and helping you to transition smoothly to a great orthodontic outcome. Dental School: University of Connecticut School of Dental Medicine Orthodontic Residency: University of Minnesota Department of Orthodontics Master Degree: University of Minnesota Department of Orthodontics

Dr. Dante Gonzales has been creating beautiful, healthy smiles since 1998. He takes great pride in delivering the highest quality orthodontic treatment available. Dr. Gonzales takes an active role in meeting and exceeding the standards of his profession. He has taken the extra steps to become a board certified orthodontist in Dublin and Tracy, CA. (only half of orthodontists are board certified) In addition, he is a member of the American Association of Orthodontists, as well as other national, state, and local dental associations. In order to stay abreast of the most current developments in dentistry and orthodontics, Dr. Gonzales and his team attend many continuing education courses throughout the year. In addition, he served as an associate clinical professor in the orthodontics department at the University of the Pacific Dental School. Since 2010, Dr. Gonzales has served on the editorial advisory board of Dr. Oz’s website.

Dr. Gabrielle Wainwright, DDS, MSD is a Bay Area native, and grew up in San Mateo, California. She received her B.S. in Molecular Environmental Biology at U.C. Berkeley, graduating summa cum laude. She earned her D.D.S. degree at the University of the Pacific Arthur A. Dugoni School of Dentistry in San Francisco. Dr. Wainwright then went on to complete her orthodontics residency program at the University of the Pacific, where she received her Master of Science in Dentistry and Certificate in Orthodontics. Dr. Wainwright is passionate about providing quality care to her patients in a positive and comfortable environment. In her free time, Dr. Wainwright loves exploring the Bay Area, traveling, and spending quality time with her family and friends. She also loves discussing pop culture and the latest movies and tv shows!

Dr Gary Warner started practicing orthodontics in June 2010 as a graduate from the orthodontics program at the University of Minnesota. He was born and raised in Trinidad and Tobago, but then moved to the USA for college. Dr Warner enjoys exploring challenging hiking trails in the Bay Area, and pickle ball. He loves the TV series Survivor, animals (dad of two senior Schnauzers), vegan food, learning new languages especially Mandarin, and has been to over 20 countries. His passion for outstanding patient care is what drives him the most. Dr. Warner looks forward to meeting you, and helping you to transition smoothly to a great orthodontic outcome. Dental School: University of Connecticut School of Dental Medicine Orthodontic Residency: University of Minnesota Department of Orthodontics Master Degree: University of Minnesota Department of Orthodontics
Clear aligners work by gradually shifting teeth into their correct positions through a series of custom-made, removable trays that apply gentle pressure over time. Each set of aligners is typically worn for one to two weeks before progressing to the next set in the treatment plan.
To clean your clear aligners, rinse them with lukewarm water and gently brush them with a soft toothbrush using clear, non-abrasive soap. Avoid using toothpaste, which can scratch the aligners, and ensure they are cleaned daily to prevent bacteria buildup.
Treatment with clear aligners typically lasts between 6 to 18 months, depending on the complexity of the case and how consistently the aligners are worn as directed by your dentist or orthodontist.
The cost of clear aligners typically ranges depending on the complexity of the treatment. We offer flexible payment plans to make this option more affordable. Please schedule a consultation for a personalized estimate.
Clear aligners work by gradually shifting teeth into their correct positions through a series of custom-made, removable trays that apply gentle pressure over time. Each set of aligners is typically worn for one to two weeks before progressing to the next set in the treatment plan.
To clean your clear aligners, rinse them with lukewarm water and gently brush them with a soft toothbrush using clear, non-abrasive soap. Avoid using toothpaste, which can scratch the aligners, and ensure they are cleaned daily to prevent bacteria buildup.
Treatment with clear aligners typically lasts between 6 to 18 months, depending on the complexity of the case and how consistently the aligners are worn as directed by your dentist or orthodontist.
The cost of clear aligners typically ranges depending on the complexity of the treatment. We offer flexible payment plans to make this option more affordable. Please schedule a consultation for a personalized estimate.